笑顔が輝く
理想の白さへ
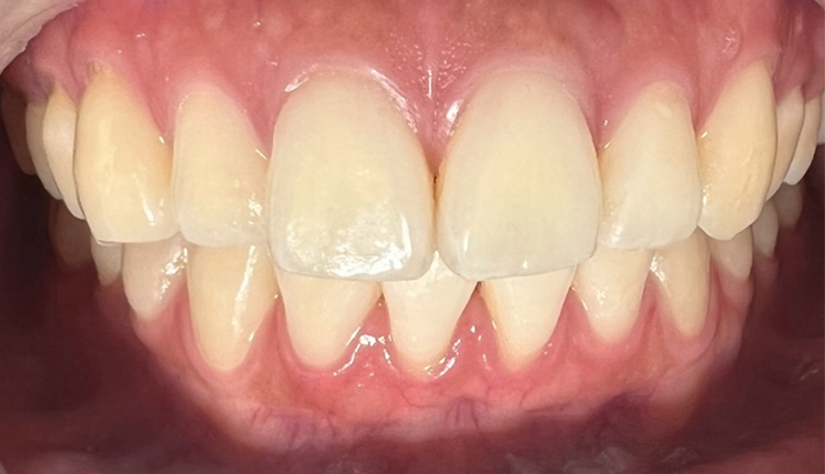
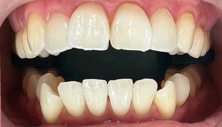
1回
フィールズ南柏
奏デンタルクリニックの
ホワイトニングなら、
たった1回の通院で
こんなに変わる!
歯科医院での安全かつ確実な
ホワイトニングで理想の白さを実現
Whitening

歯の色に悩む方へ。当院のホワイトニングで笑顔を取り戻しませんか?
テトラサイクリン歯も治療可能です。お気軽にご相談ください。


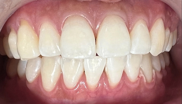
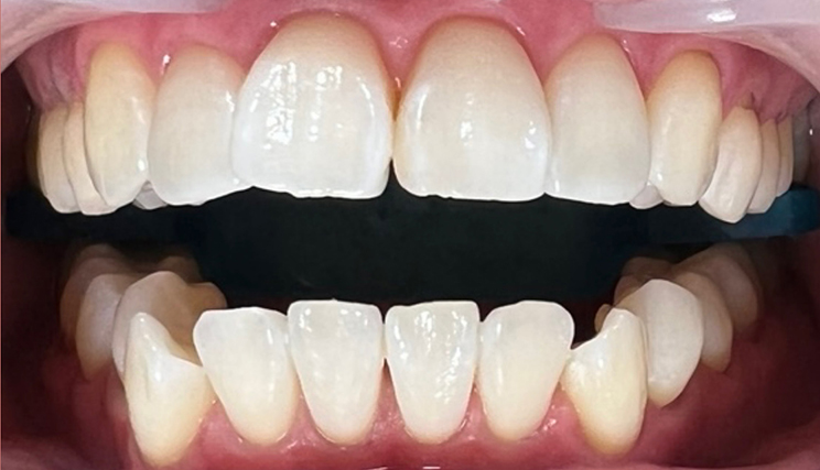
1回
フィールズ南柏
奏デンタルクリニックの
ホワイトニングなら、
たった1回の通院で
こんなに変わる!
南柏駅東口より徒歩1分、フィールズ南柏モール1Ⅰ3Fにあるフィールズ南柏 奏デンタルクリニックでは、急なお口のトラブルに迅速に対応するため事前予約なしでご来院いただけます。
ホワイトニングをして口もとの印象が明るくなると、お顔全体の印象もかわってきます。笑顔に自信が持てるので、表情も生き生きとするのではないでしょうか。年中無休で19時まで診療しておりますので、歯の色でお悩みの方はお気軽にご来院ください。
歯科医院とホワイトニングサロンでは、異なる薬剤を使用します。ホワイトニングサロンの薬剤は表面の汚れを落とすため、本来よりも白い歯にはなりません。一方、歯科医院の薬剤はエナメル質の内部の着色まで分解し、歯が白く明るくなります。
当院は、オフィスホワイトニングとホームホワイトニングを併用する「デュアルホワイトニング」をご提案しています。それぞれのメリットを取り入れることができるため、白い歯をより長く維持したいという方は、デュアルホワイトニングを選ばれると良いでしょう。
患者様のお口の中だけではなく、表情の変化や体の反応などを確認しながら治療を進めます。無理に治療はせず、患者様に負担がかからないよう心がけています。小さな疑問やお悩みでもお気軽にご相談ください。
休診日を設けず、【年中無休・土日診療】の歯医者です。忙しくて土日しか通院できない、遠方の方など、より多くの方のお力になりたいと考えています。
皆さまのご希望やお口の状態に合わせて
ホワイトニングプランを選択していただきます。
患者さまご自身で行っていただくプランで、ご自身のペースで歯を白くしたいという方にご提案しています。
患者様専用マウスピース作成
+
ホームホワイトニングジェル6本
36,300円(税込)
オフィスホワイトニングとホームホワイトニングを併用するプランです。なるべく早く白くして、その白さを長持ちしたいという方にご提案しています。当院、1番おすすめ!
オフィスホワイトニング1回
+
A or Bで選択可
A:患者様専用マウスピース作成
ホームホワイトニングジェル4本
or
B:オパールGo 2個
72,000円
66,000円(税込)
当院で施術を受けていただくプランです。結婚式など大切なイベントを控えていて、なるべく早く歯を白くしたいという方にご提案しています。
オフィスホワイトニング3回
135,000円
110,000円(税込)
南柏駅東口より徒歩1分、フィールズ南柏モール1Ⅰ3Fにあるフィールズ南柏 奏デンタルクリニックでは、急なお口のトラブルに迅速に対応するため事前予約なしでご来院いただけます。
ホワイトニングをして口もとの印象が明るくなると、お顔全体の印象もかわってきます。笑顔に自信が持てるので、表情も生き生きとするのではないでしょうか。年中無休で19時まで診療しておりますので、歯の色でお悩みの方はお気軽にご来院ください。
まずはお口の状態を確認して、ホワイトニングについてご説明いたします。
また、クリーニングも行っていただくことでより高い効果を期待できます。問題がなければ、ホームホワイトニングをご希望の場合はさっそくマウスピースを作製するための歯の型取りを行います。
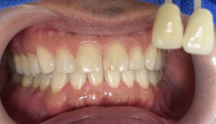
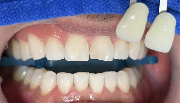
ホワイトニング前後の色味を比較するため、シェードガイドを使用したチェックを行います。
オフィスホワイトニングの場合、薬剤が歯茎に付着しないように保護し、歯に薬剤を塗布して20分後に洗い流すという工程を2セット行います。
ホームホワイトニングの場合、ホワイトニングキットをお渡しします。
1ヶ月後のメンテナンスとともにホワイトニングの効果の確認を行います。シェードガイドを用いたチェックを行うことも可能です。
※安全面に配慮し、当院のホワイトニングは18歳以上の方を対象としております。あらかじめご了承ください。






特に決まっておりません。ただし、土日や祝日は混み合うことが多いので、ご希望の場合は早めに予約枠をお取りいただきますようお願いします。
ホワイトニング直後は白浮きすると思いますが、徐々になじむことがほとんどです。オフィスホワイトニングを受けられた方で、白浮きが気になるという場合は再度ご来院いただくようにしています。
クリーニングは、歯の表面の汚れを取り除く施術です。ホワイトニングは、薬剤を使って歯そのものを白くしていく施術です。
虫歯が進行している方、重度の歯周病になっている方、しみを強く感じる方、妊娠中の方、18歳未満の方には、当院はホワイトニングを行っておりません。
ホワイトニング直後は歯が着色しやすい状態になるので、24時間から48時間は着色しやすい飲食物は控えてください。また、しばらくしてからしみや痛みの症状が出た場合は、痛み止めを飲んでいただいて大丈夫です。症状が改善されない場合はご来院ください。
丁寧な説明で「初めての方」でも安心フィールズ南柏
奏デンタルクリニックの
ホワイトニング
当院のホワイトニングは、医療機関で国家資格所有者でないと取り扱うことのできない医薬品を使用したホワイトニングです。安全かつ確実なホワイトニングを実現できるのは、こうした歯科医院で行うホワイトニングだと言えます。痛くない治療・分かりやすい説明をモットーに診療していますので、その他でも何か気になる症状がございましたら、お気軽にご相談ください。