南柏の歯医者|フィールズ南柏 奏デンタルクリニック
JR常磐線 南柏駅東口直結 土日診療の歯医者

インプラント

歯を失ってしまった方への治療法

インプラント治療とは

インプラント治療とは、歯が失われてしまった部分に人工の歯を埋入する治療のことです。人工の歯根を顎の骨の中に埋め込み、その上に人工の歯を固定します。

入れ歯やブリッジと異なり、隣の歯を削って負担をかけることもありませんし、自分の歯と同じような感覚で違和感なく噛むことができるようになります。 また、下顎の総入れ歯が不安定で動いてしまう方や、上顎の総入れ歯で口蓋が無いものを使用される場合などには、インプラントによって入れ歯を固定する方法も有効です。

当院におけるインプラント治療の
特徴

  1. 経験豊富なドクターによる施術
  2. 正確な診査診断を行える医院設備
  3. 手厚いメインテナンスと保証内容・明朗会計

インプラントが難しいケースに
ついて

インプラントが難しいケース

内分泌疾患、代謝疾患、精神疾患などの全身疾患

その他生活習慣でインプラントが
難しくなるケース

喫煙、清掃不良、喰いしばりや歯軋り、患者様の生活状況

生活習慣で起こる
歯ぎしり

当院のインプラントに
ついて

当院のインプラントメーカーは、ストローマンを使用しております。

当院で採用している
インプラントの特徴

  1. 歴史がある
  2. 世界三大メーカーの一つ
    (シェアが高い)
  3. 術者が安心して患者にお勧めできる
    (術者が安心して利用できる)
  4. メーカーのサポートが厚く、
    メーカーの努力が高い

インプラント治療のメリット

天然歯に近い咬み心地を得られる

インプラントは生体親和性の高いチタンでできているので、埋めこんだあとは顎の骨としっかり結合します。
そのため硬いものでも咬みやすくなり、食べたいものを安心して食べることができます。

仕上がりが自然で美しい

天然歯に近い透明感と強度を持つセラミック製の人工歯を用いることで、美しく自然な見た目が手に入ります。近くで見られても、治療したことがほとんどわかりません。

周囲の歯に負担がかからない

入れ歯やブリッジと違って周囲の健康な歯を「支え」としないので、余計な負担をかけることがありません。
歯の寿命を縮めないので、将来的にその他の健康な歯を維持しやすくなります。

インプラント以外
の選択肢の入れ歯

顎の骨が痩せにくい

咬んだときの刺激がインプラントから骨にしっかりと伝わるので、入れ歯に比べて顎の骨が痩せにくくなります。

インプラント治療のデメリット

  • 保険適用外(高額治療)
  • インプラントの維持の大変さ
  • すべての症例に対して治療が可能ではない

インプラント治療の流れ

  1. 事前検査 インプラント治療を始める前には、慎重な事前検査が必要になります。レントゲン撮影・CTスキャン・口腔内模型検査などによる十分な検査を行い、綿密な治療計画を立てます。患者様の同意を得てから手術の日程を決めます。
  2. 治療開始 お口の中が清潔で炎症のない状態であることが確認したうえで、治療を開始します。局部麻酔を行ったあと、顎の骨にインプラントを埋め込みます。このインプラントが新しい歯の土台となります。手術後は、インプラントと骨が結合するまで待ちます。様々な条件によって期間が異なりますが、2ヶ月~半年が目安となります。
  3. 人工歯の装着 インプラントが顎の骨と結合したら、インプラントの上にアバットメントを連結して人工の歯(上部構造)を装着する準備をします。
  4. 人工の歯(上部構造)を装着 インプラントのヘッドに人工の歯(上部構造)を装着します。これでインプラントを装着する治療が終わります。
  5. メインテナンス(検診) インプラントを長持ちさせるため、メインテナンス(検診)に定期的に通っていただきます。インプラントのネジの締まり具合を点検したり、噛み合わせの調整も必要になります。また、インプラントは虫歯にはなりませんが、メインテナンスを十分に行わないと歯周病にかかることがありますので、そうしたトラブルを防ぐためにも治療後もしっかりとサポートいたします。

インプラント治療の症例

【60代女性】他院で治療した
ブリッジをインプラントで
再治療したケース

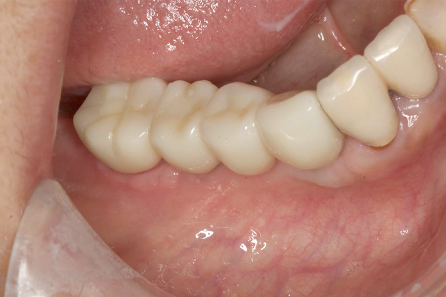
治療前

治療前症例写真

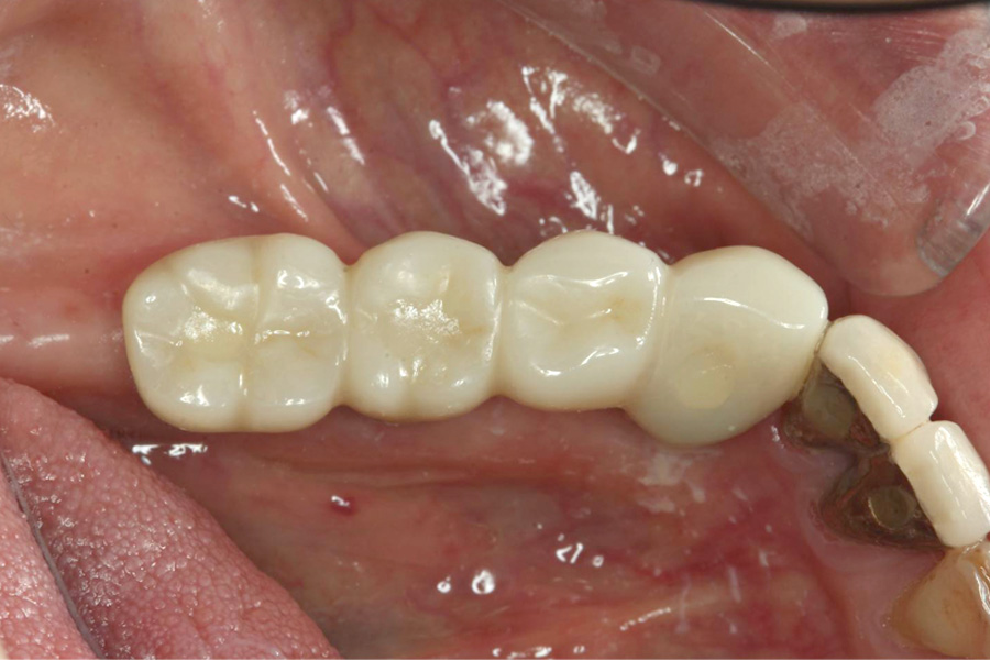
治療後

治療後症例写真

治療前

治療前症例写真

治療後

治療後症例写真

抜歯直後

抜歯直後症例写真

抜歯直後

抜歯直後症例写真

ブリッジの土台にしていた歯の保存ができなくなり、再治療を行いました。
右下3番、7番の抜歯後、右下3番、5番、6番相当部分にインプラントを3本埋入し、補綴を行いました。

治療期間
(治療回数)
約10ヶ月
治療費 約200万円
治療回数 12回
治療内容 右下奥歯抜歯、インプラント埋入(3本)
治療のリスク ・術後感染
・骨火傷
・下顎神経麻痺
・インプラント体の脱落
・インプラント周囲炎

インプラント寿命に
ついて

インプラントを長く
使い続けるために

インプラント治療は、「インプラントを埋入して終わり」ではなく、そこからがスタートです。
インプラントに装着した人工歯が虫歯になることはありませんが、しっかりとしたケアをしていかなければ、周辺の歯ぐきやインプラントを支える顎の骨が歯周病に似た症状を招いてしまうことがあります。インプラントの周囲に起こる歯周病菌による疾患は、「インプラント周囲炎」と呼ばれます。このインプラント周囲炎が進行すると、せっかく埋入したインプラントが抜け落ちてしまうこともあるので、注意が必要です。

インプラントも天然歯と同じように、毎日ブラッシングでお手入れし、定期的に歯科医院でメインテナンスを受けることが大切です。適切なケアを続けてせっかく入れたインプラントを守り、長く使い続けましょう。

毎日のケアで虫歯
にならなくする
全身にも悪影響を
与える歯周病

インプラント周囲炎とは?

インプラントに起きる歯周病のことをインプラント周囲炎といいます。インプラントの周りに汚れがたまり、歯茎が炎症を起こし、腫れたり出血が起こるようになります。そのままにしておくとインプラントがぐらぐらし、最終的には脱落してしまいます。ご自身での毎日のケア不足、さらに歯科医院での定期的なメンテナンスを受けていないとプラークがお口の中に溜まり細菌が増殖し、インプラントを支える骨に感染することが原因と言われています。

インプラントを
ご検討の方へ

安心してインプラント治療を受けていただくための取り組み

当院では、歯や顎の骨の状態を撮影し、コンピュータ上で立体的な画像データを取得できる歯科用CTを用いた精密検査を行っています。
CT撮影によって、2次元のレントゲン撮影では得られなかった顎の骨の量や厚み、神経の位置といった重要な情報が正確に得られるため、より正しい診断と精密な処置が可能になります。

インプラント治療における
CTの役割

インプラント治療には、顎の骨にインプラントを埋めこむ外科処置をともないます。安全性の高い治療計画を立てるためには、顎の骨の状態を正確に把握しなくてはなりません(骨の状態によっては、インプラントを埋めこむ前に骨再生などの治療が必要になるケースもあります)。

顎の骨の中がどうなっているのかを目視で把握することはできないので、治療で大きな血管や神経を傷つけないためにも、歯科用CTは大切です。歯科用CTを導入している歯科医院では、CT撮影のためだけに総合病院などに通う手間や時間、費用をかけず、安全に治療を進めることができます。

歯科用CT導入歯科医院のメリット

  1. 術中や術後であっても、必要に応じて
    院内でCT撮影が可能
  2. 撮影後すぐに画像を確認することが
    でき、すばやく適切な診断ができる
  3. 院内で撮影するので、外部に委託する
    費用が抑えられる

歯科医院における一般的なレントゲン撮影機の普及率がほぼ100%なのに対し、歯科用CTは高額な設備なため、歯科用CTの普及率は約10~15%にとどまっています。
インプラント治療を受けられる前には、歯科用CTの導入状況をご確認されることをおすすめします。

歯科用CTと従来のレントゲン装置
(パノラマレントゲン)との
違いは?

レントゲン装置は2次元、CTは3次元になります。
従来のパノラマレントゲンが2次元で平面的あるのに対して、歯科用CTが3次元(3D)で立体的に画像をとらえることができる点が大きな違いです。

インプラント治療を
ご検討の方は
南柏の歯医者、
フィールズ南柏
奏デンタル
クリニックまで
ご相談ください。

こんなお悩みありませんか?

  1. ・歯が欠損しているのを治したい
    ・重度歯周病と診断された
    ・実力のあるドクターの治療を受けたい
    ・他院でインプラントはできないと言われた

当院はフィールズ南柏モール1-3階の通いやすい歯医者です。インプラント治療をしたいけど、どこに相談すれば良いかわからない。そんな方は当院へどうぞお気軽にご相談ください。失敗できないインプラント治療だからこそ、実績あるドクターにご相談することをおすすめいたします。

ご予約・ご相談はこちらから

ご予約なしの方も順次ご案内をしております(ご来院前にお電話でご連絡いただくとスムーズなご案内が可能ですので、ご来院時間がお決まりの方はお電話にてお問い合わせいただくことをおすすめしております)。

WEBで予約する 電話で予約する

JR南柏駅東口より1分・南柏の歯医者急な痛み・
セカンドオピニオンも対応
年中無休の総合歯科医院

フィールズ南柏 奏デンタルクリニック
診療時間
10:00 - 19:00

〈年中無休〉

歯でお困りの患者様を少しでも多く診療
できるよう、年中無休で診療いたします。

04-7197-6480

JR常磐線「南柏」駅東口すぐの歯医者

JR常磐線「南柏」駅東口すぐの歯医者

〒277-0075
千葉県柏市南柏中央7-1
フィールズ南柏モール1-3F